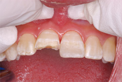
切歯外傷症例
予防とチーム医療。川崎市中原区の歯科・歯医者なら元住吉駅近くの当院へ。
川崎市中原区の歯科・歯医者なら「いまにし歯科医院」|元住吉駅近く
切歯外傷症例
術前
上顎左右中切歯外傷による破折
術後
レジン充填
予防のプロ「歯科衛生士」にお任せください
予防のプロ「歯科衛生士」とは?
口は災いのもと
親子そろって健口な歯
いまにし歯科医院の特長
スウェーデン基準の予防歯科
詳しい診断・説明
感染予防の徹底
治療について
一般歯科(虫歯治療)
小児歯科
歯周病治療
歯内療法(根管治療)
親知らずの抜歯
矯正歯科
スポーツマウスガード
インプラント
症例集
このような事でお悩みの方は
よくある質問
医療費控除
医院について
院長あいさつ
スタッフ紹介
院内ツアー
アクセス・診療時間
求人情報
施設基準
プライバシーポリシー
サイトマップ
TOP
>
治療について
>
症例集
>
切歯外傷症例